|  | |
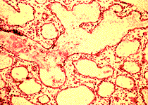
Slides of microscopic cross-sections of embryonic lungs at different stages of maturation were my only empirical evidence. This evidence was augmented by theories expressed in texts and diagrams.
 |
|
 |
I began by thinking of the air spaces within the lungs as three-dimensional volumes and I tried to imagine, using drawings and clay models, what specific kind of volumes would look the same as the
microscope slides of lung tissue when cut into cross-sections.
 |
|
 |
I represented the airways and hollow breathing chambers of the lungs as solid volumes of plasticine clay. The structure of the lung tissue proper was built from thin layers of acrylic accumulated additively over the plasticine.
 |
|
 |
I constructed five draft models over five years in an effort to articulate increasingly more accurate structures, topology and developmental growth patterns.
 |
|
 |
This detail from the final set of models must be understood to be an interpretive, selective representation of much, but not all, current knowledge of the development of the fetal lungs. This is the case in the expression of all scientific theory. |
|
 |
|  | |
 |